

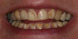
Countless patients visit us feeling like their smile’s imperfections have shredded their confidence, leaving them to wonder whether they’ll ever be able to let their smile show again. We take the responsibility of transforming smiles very seriously because we know the immense impact that they can have on your daily life. We invite you to view some of the amazing results we’ve achieved for our Hillsboro dental patients below, and if you feel inspired by their stories, schedule a consultation with us!
About Us Meet the Dentists Meet the Team Tour Our Office Smile Stories Community Involvement Dental Technology View Our Services